-
在线咨询
关注微信公众号
1.背景介绍
脑积水动物模型是神经科学和神经外科研究中至关重要的工具,用于模拟人类脑积水的病理生理过程、测试潜在的治疗方法(如药物、分流器、内窥镜手术等)以及研究其发生机制。高岭土(Kaolin)是一种常用的诱导剂,注射到大鼠的枕大池或蛛网膜下腔后,会引发炎症反应,导致脑脊液循环障碍,从而形成脑积水。这种模型能够模拟人类慢性脑积水的进展过程,包括脑室扩张和神经功能损害。
2.实验材料和方法
01 实验材料
SD大鼠(雄性,200-220g)
异氟烷(厂家:瑞沃德 货号:R510-22-10)
通用型小动物麻醉机(厂家:瑞沃德 型号:R580S)
高岭土(厂家:阿拉丁 货号:K100129)
02 造模方法
1)适应性喂养7天,小动物麻醉机混合纯氧进行麻醉。
2)成功麻醉后,充分暴露头颈交界处,头颈部备皮后常规消毒。在手术显微镜下沿后颈部正中于头颈交界处作一长约1~1.5cm 的纵行切口,钝性分离肌肉,暴露环枕筋膜,先用29号针头穿刺枕大池,抽出脑脊液约0.05mL后再注入2%高岭土混悬液0.05mL,拔针后医用耳脑胶封闭针眼,缝合切口。造模4周后取材脑组织。
03 评价指标
尼氏染色,HE染色
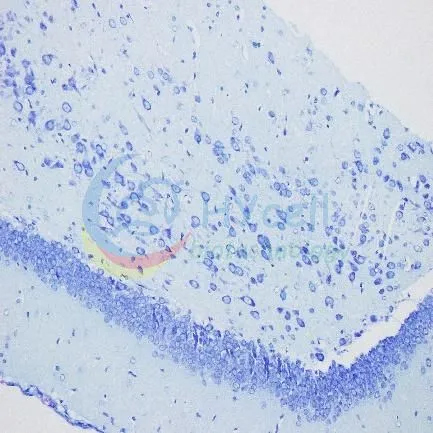
3.验证
尼氏染色
| 正常组(海马DG区) | |
![]() |
![]() |
| 模型组(海马DG区) | |
![]() |
![]() |
| 正常组(脉络丛) | |
![]() |
![]() |
| 模型组(脉络丛) | |
![]() |
![]() |
尼氏染色结果:与正常组相比,模型组海马DG区组织结构异常,颗粒层细胞缺失,神经元尼氏体着色较深、排列紊乱,出现胞浆皱缩、核空泡变性;脉络丛缩小,周围组织间隙相对增宽。
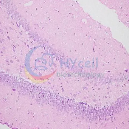
HE染色
| 正常组(海马DG区) | |
![]() |
![]() |
| 模型组(海马DG区) | |
![]() |
![]() |
| 正常组(脉络丛) | |
![]() |
![]() |
| 模型组(脉络丛) | |
![]() |
![]() |
HE染色结果:与正常组相比,模型组脑组织左右两侧海马齿状回颗粒层细胞核固缩、浓染;左右脑的侧脑室脉络丛萎缩,脑室相对扩大,脑室周围组织结构疏松,细胞间隙增大。